一、科室介绍
北京儿童医院新疆医院呼吸消化心脏科目前开放床45张,目前全科共有专业医护人员23名,其中医疗组9人,其中主任医师2名,副主任医师1名,主治医师4名,住院医师2名。护士共14名(主管护师4名,护师6名,护士4名)。科室医护团队曾多次在北京、上海、西安三甲医院进修培训,对疑难、危重症有较高的诊治水平。科室一直秉承“以爱心,追求卓越”的科室文化理念,以“一切为了病人、为了一切病人、为了病人一切”为宗旨,致力于构造和谐的医护团队,用爱心营造温馨舒适的就医环境,用责任心、细心、耐心提供安全有效的医疗技术,竭诚为广大呼吸消化心脏疾病患儿提供优质的服务。
我科收治以下病种:肺炎、支气管哮喘(包括危重状态)、慢性咳嗽、上气道咳嗽综合征、喉软骨发育不良(呛咳后亦患吸入性肺炎)、支气管肺发育不良、气管狭窄、气管软化、气管食管瘘(协助外科诊断,指引瘘口位置、大小)、肺实变、肺不张、困难气道(气切术后声门下狭窄)、气管右主狭窄反复肺炎(气管壁囊肿压迫)、支气管扩张(联合免疫缺陷、幼年麻疹、结核)、气管支气管异物、特发性肺含铁血黄素沉着症、肺泡蛋白沉积症;四级手术开展情况 :支气管异物取出、粘膜活检、粘膜刷检、电切、球囊扩张、二氧化碳冷冻、TBNA、TBLB、透壁肺活检。
二、诊治范围
小儿急性腹泻、慢性腹泻、、幽门螺杆菌感染、牛奶蛋白过敏症、急慢性胃炎、消化性溃疡、消化道出血、消化不良、厌食、肠易激综合征、便秘、乳糜泻、慢性腹痛、胃食管反流、营养不良、炎症性肠病、过敏性胃肠病、先天性簇绒性肠病、小肠淋巴管扩张症、等疾病。
诊治范围:各种心律失常、心前区疼痛、胸痛、胸闷、肌病、心肌酶异常、心肌损害、心肌病、心内膜弹力纤维增生症、川崎病、风湿性心脏病、胸闷、头痛、头晕、高血压、不明原因晕厥、血管迷走性晕厥、体位性心动过速、焦虑状态、抑郁状态、关节痛、关节炎、幼年特发性关节炎、腰痛腿痛、强直性脊柱炎、系统性红斑狼疮等。
三、医疗特色
在常见病多发病诊疗基础上,对呼吸系统疑难危重者的诊疗也有独到的优势:重症肺炎的介入治疗(包括盥洗;介入手术取塑性支气管束挽救几近闭塞气管获得再通;利用电切球囊扩张二氧化碳冷冻技术挽救坏死陷闭的气管支气管),支气管异物的取出(包括超过4周的异物造成局部肉芽组织增生、桥联等的诊疗),肺不张的介入治疗可挽救不张的肺叶,降低肺叶切除的风险。支气管扩张症患者定期气道盥洗可改善支扩患儿的生活质量及缺氧情况。已开展气管镜内膜刷检及活检,对EBTB(支气管内膜结核)的诊断,后期可进行局部治疗(包括局部予以异烟肼滴注、钳夹干酪病灶促进病灶恢复等)。随着呼吸专业科研水平提高,对于哮喘支气管哮喘诊断及治疗获得满意的临床疗效,根据炎症介质、哮喘易感基因、哮喘个体化给药基因检测指导临床精准用药、肺功能评估一系列方法的选择,提高了哮喘的诊疗水平。随着二代测序(全外显)的开展,呼吸系统单基因遗传病(囊性纤维化、PCD等)的诊断率逐渐提高,同时呼吸系统病原学的宏基因检测越来越多的应用于临床,减少及避免的抗生素的不合理应用,做到精准诊断精准治疗。
随着人民生活水平的提高及医疗技术的发展,儿科消化系统疾病越来越受到家长和医生的重视,疾病谱由以往的以急性腹泻、急性胃肠炎等急性胃肠疾病向慢性胃肠疾病转变,如慢性腹泻、慢性腹痛、功能性胃肠病、过敏性胃肠病等疾病,疑难罕见病也逐渐被发现。消化内镜技术在儿科应用也越来越广泛,大大提高了儿科消化系统疾病的诊断及治疗水平。新疆地处边陲,交通不便,然而疑难罕见病不在少数,如乳糜泻在新疆发生率远远高于内地,早期诊断,早期治疗,可大大减少并发症,减轻患者经济负担。许多新的消化道疾病逐渐被发现,如先天性簇绒性肠病、小肠淋巴管扩张症等疾病。食物过敏,以往对儿童食物过敏认识不足,制定了儿科过敏性疾病的诊治规范。
随着科学的发展,儿童幽门螺杆菌感染也越来越受到重视,由于儿童生理特点与成人不同,治疗的适应证及方案也不同于成人,因此制定了儿童幽门螺杆菌感染诊治规范,用于指导儿科医生进行规范的诊断及治疗。儿童炎症性肠病由于没有特异性的诊断治疗,早期诊断较为困难,治疗也充满挑战,因此也成为儿科消化界研究的热点。
我国儿科消化内镜诊断技术得到了迅速发展,内地大部分儿童专科医院及较大规模综合性医院的儿科都开展了儿童胃镜检查,部分医院开展了儿童肠镜检查,少数单位还开展了儿童双气囊小肠镜、胶囊内镜、超声内镜、ERCP等技术,使儿童消化道病变的确诊率得到很大提高。与此同时,内镜下治疗技术也得到了快速发展,如消化道息肉的内镜摘除、上消化道异物钳取术、硬化剂注射治疗食管静脉曲张、良性食管狭窄球囊扩张与支架治疗、经皮内镜引导下胃造瘘术、ERCP治疗、超声内镜下胰腺假性囊肿穿刺引流术、经口内镜下肌切开术(P0EM)等,这些微创手术消除了患儿的病痛、促进了患儿的康复、减轻了患儿家族的经济负担,取得了良好的社会效益。儿科消化内镜的快速发展大大提高了儿科消化专业的诊断及治疗水平,某些治疗技术如POME手术已在全世界处于领先地位。
先天性心脏病是胚胎期心脏及大血管发育异常所致的先天性畸形,是儿童最常见的心脏病,发病率在活产新生儿中为0.6-1%,如未经治疗,约1/3的患儿在生后1年内可因严重缺氧、心力衰竭、肺炎等严重并发症而死亡,近年来,先天性心脏病的微创介入治疗,如动脉导管未闭、房间隔缺损、室间隔缺损封堵术,瓣膜狭窄和血管狭窄球囊扩张术、支架植入术等已广泛应用于先天性心脏病的治疗。心脏外科手术方面,体外循环,深低温麻醉下心脏直视手术的发展以及带瓣管道的使用使手术成功率不断提高,先天性心脏病的预后已大为改观。其中房间隔缺损占先天性心脏病发病总数的5%-10%,分4型:原发孔型、继发孔型、静脉窦型、冠状静脉窦型。动脉导管未闭占先天性心脏病发病总数的10%,分3型:管型、漏斗型、窗型。室间隔缺损占先天性心脏病发病总数的50%,有:膜周型、肌部型、双动脉下型。单纯肺动脉瓣狭窄占先天性心脏病发病总数的10%,有20%的先天性心脏病合并肺动脉瓣狭窄。
学科地位:呼吸系统疾病占内科系统疾病构成的60%以上,急慢性腹泻、慢性腹痛、功能性胃肠病、胃食管反流病、消化性溃疡、HP感染、食物过敏、营养不良等疾病多发,乳糜泻、先天性簇绒性肠病、炎症性肠病、黑斑息肉综合征等罕见病也均可见,严重危害儿童健康,先天性心脏病是胚胎期心脏及大血管发育异常所致的先天性畸形,是儿童最常见的心脏病,发病率在活产新生儿中为0.6-1%,如未经治疗,约1/3的患儿在生后1年内可因严重缺氧、心力衰竭、肺炎等严重并发症而死亡,近年来,先天性心脏病的微创介入治疗,如动脉导管未闭、房间隔缺损、室间隔缺损封堵术,瓣膜狭窄和血管狭窄球囊扩张术、支架植入术等已广泛应用于先天性心脏病的治疗。
学术地位及学术任职情况:拥有以下学术任职:中华医学会儿科分会内镜委员会委员、中华医学会儿科分会肺功能协作组委员、中国医师协会呼吸内镜委员、中国妇幼微创介入分会青年委员、中国残疾人康复协会肺康复专业委员会“儿童肺康复学组”委员、西北哮喘协作组委员。中国医师协会儿童重症心血管专业委员。中国医师协会儿童重症心血管专业委员。疆内远程会诊专家。医疗事故鉴定专家。疆内远程会诊专家。医疗事故鉴定专家。
科研情况:主持自治区自然科学基金课题2项,主持及参与院内课题8项,主持及参与国家级和自治区级课题4项,专利4项。
举办专科继续教育学习班二期。发表核心期刊3篇,1篇SCI
论文40余篇。
科研获奖:获得院内新技术创新三等奖、获院内科技进步奖2项,荣获中华护理学会科普二等奖。
教学、规培师资、发表论文、授课情况:拥有高校教师资格及规范化培训师资,担任规培医师带教、医科大学本科生大课授课及见习、承担现代护理学院授课。多次参与疆内儿科学习班授课。多次参加全国儿科专业会议。多次参与疆内儿科学习班授课。
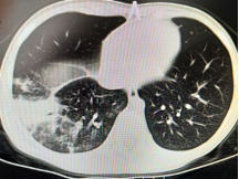
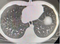
以下为呼吸专业典型病例分享:
图片1:气切后声门下狭窄不能脱金属套管,予以硅胶T管植入,2年后拔出T管,获得满意疗效。

图片2:气管狭窄后电切、球囊扩张、二氧化碳冷冻治疗

图片3、4:各种异物取出:金属笔帽、塑料笔帽、水钻、图钉、牙齿等等



图片5:气管内膜结核及重症支原体肺炎所致气道阻塞、塑性支气管束




四、联系方式
新疆乌鲁木齐市沙依巴克区阿勒泰路393号北京儿童医院新疆医院1号住院楼16楼呼吸消化心脏科(儿内1)
专家门诊:彭陵主任(周一下午、周四下午、周五全天)
马兰红主任医师(周二上午、周三下午)
王晓英(周三上午、周日上午)
专病门诊:伊力江·吐洪江/周广花 (周三下午、周六上午)
科室:0991-3056532(护士站电话)/3056533(医生办公室电话)
五、护理团队介绍

Copyright © 2026 污污漫画 新ICP备20000253号